İngiliz bilim adamlarının geliştirdiği, bedenin bağışıklık sistemini kullanarak kanser hücrelerini yok etmesini sağlayan ilaç, multipl miyeloma (kemik iliği kanseri) yakalananlara umut oldu.
Bilim adamları, ilacın kanser hücrelerindeki SLAMF7 adlı molekülü hedef alarak bağışıklık sisteminin bu hücreleri ortadan kaldırmasını sağladığını belirtti.
Bilim adamlarından Profesör Graham Jackson, ilaç sayesinde kemik iliği kanserinin tedavisinde yeni bir çağ başladığını vurgulayarak hastaların daha az acı çekerek, daha uzun yaşayabileceğine dikkati çekti.
Jackson, hastaların daha az kemoterapi görerek hayat kalitelerinin de artabileceğini ifade etti.
Konuya ilişkin makale "New England Journal Of Medicine" dergisinde yayımlandı.
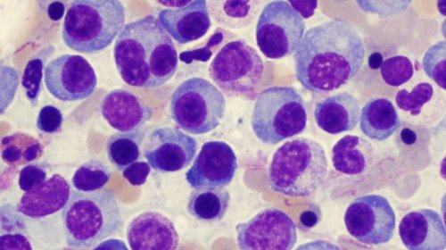
Multipl miyelom nedir?
Multipl miyelom, kemik iliğindeki plazma hücresi adı verilen hücrelerin kontrolsüz çoğaldığı nadir rastlanan bir kemik iliği kanseri. Bu anormal çoğalma özellikle omurlar, kalça kemikleri, kafatası, kaburgalar gibi iliğin etkin çalıştığı kemiklerde ağrılara yol açıyor. Hızla çoğalan hücreler kemiklerde ve kemik iliğinde toplanıyor ve kemik dokusunu harap eden kitleler oluşturarak kemiklerin zayıflamasına veya kırılmasına ayrıca enfeksiyonlara karşı vücut direncinin düşmesine yol açıyor.
Hastalık daha çok 60 yaşın üzerindekilerde görülüyor. Türkiye'de yılda ortalama 3 bin multipl miyelom tanısı koyuluyor. Hastaların yüzde 30'una yaklaşık 10 yıl yaşam süresi verilebiliyor.
Kaynak: AA
                
        İVEK © 2016 / Sitemizdeki yazı, resim ve haberlerin her hakkı saklıdır. İzinsiz, kaynak gösterilmeden kullanılamaz.
ZeplinGo® | Web Sitesi Tasarımı ile hazırlanmıştır.
İLETİŞİM